Dental Smile Gallery Melbourne
Witness Our Smile Transformations

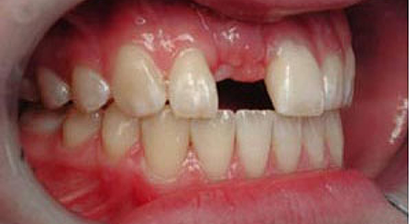
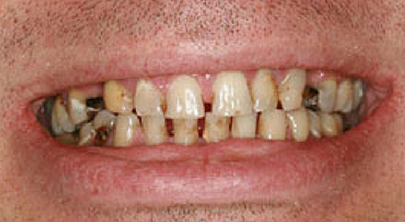
Life’s challenges can cause enamel erosion, dental damage, and tooth loss to wreak havoc on a patient’s smile. In many cases, individuals go years or even decades without proper help. At Eley Family Dentistry, we aim to change all of that, and we have by providing first-class services that focus on enhancing visual appeal and confidence. In the smile gallery below, you can see the kinds of transformations people have experienced at our dental practice in Melbourne – the same ones that are also available to you. Take a look at these pictures and call us if you have any questions.
More to Explore
About Us Meet the Dentits Tour Our Office Our Dental Technology View Our Services